Author: Site Editor Publish Time: 08-21-2025 Origin: Site
Calcium hydroxyapatite (CaHA) fillers are biostimulatory injectable microsphere suspensions widely used by aesthetic practitioners for skin tightening, structural support, and overall skin rejuvenation. Although CaHA is generally well tolerated, clinicians must remain alert for calcium hydroxyapatite side effects from nodules and transient swelling to rare but severe vascular embolic events.
This article examines a spectrum of calcium hydroxylapatite filler side effects through both clinical evidence and case analysis. It first presents a detailed case report of nodule development following CaHA injection in the lower neck, then discusses a rare but devastating vascular complication associated with inadvertent intra-arterial injection. In addition, it reviews other potential adverse reactions—including swelling, bruising, pain, skin discoloration, infection, granulomatous response, and vascular events—while outlining preventive strategies and management approaches to help practitioners achieve safe and effective outcomes.
For a general, patient-oriented overview of common and rare side effects — including expected recovery timelines and safety considerations — readers may start with our overview of CaHA filler side effects.
A 72-year-old woman presented with signs of neck aging, including skin laxity and platysmal banding. She was recommended a combined treatment with highly diluted CaHA and botulinum toxin for skin tightening and muscle relaxation.
Treatment sessions: Two initial sessions were performed at 3-month intervals. Each treatment used one syringe of CaHA filler diluted at a 1:3 ratio with bacteriostatic saline, injected with a 22G blunt cannula in a retrograde fanning technique into the subcutaneous layer. Local lidocaine infiltration was used, followed by massage of the treated area. Both sessions were combined with platysma botulinum toxin injections during the same or preceding visits, yielding satisfactory results without adverse events.
Third treatment: Nine months later, a third CaHA injection was performed using the same technique, though the last botulinum toxin injection had been given two months earlier. Approximately three months after this third session, the patient noticed multiple firm, painless nodules in the lower neck (Figure 1).
Figure 1: Nodules appearing in the lower neck after calcium hydroxylapatite injection. Image taken approximately 3 months after the most recent treatment.
Given the absence of standardized guidelines for this complication, intralesional saline injections were initiated, with treatment adjusted according to response.
· The patient declined steroid or 5-fluorouracil options, preferring a minimally invasive approach.
· Treatments were spaced two weeks apart. The rationale for saline injections was based on previous studies indicating that hyperdilution and massage could disperse CaHA microspheres and facilitate clearance.
Initial treatment with a 30G sharp needle plus massage showed minimal improvement. A subsequent attempt with a 27G sharp needle again yielded limited results. Later sessions using a 22G blunt cannula proved more effective, as the cannula allowed both saline delivery and mechanical disruption of nodules, mimicking subcision.
Each nodule received an average of 2.5 mL saline, with injections continued until the area was fully infiltrated, extending about 5 mm beyond each lesion. Improvement was progressive, and after five total saline injections (three via cannula), the nodules resolved completely (Figure 2). The patient has been followed for over two years with no recurrence.
Figure 2: Resolution of nodules after five saline injections over a 10-week period.
Although uncommon, nodules are the most reported complication of CaHA fillers, occurring in approximately 3% of injections. Understanding calcium hydroxylapatite filler side effects is essential for prevention and treatment.
· Product aggregation: The leading cause, often due to muscle activity, injection technique (superficial placement, overfilling, insufficient dilution), or filler migration.
· Dynamic areas: Repeated muscle contraction is strongly linked to microsphere clumping. In a review of 5,081 CaHA injections, 166 nodules were reported, most commonly in the lips (45%), perioral region (4%), and nasolabial folds (3%).
· Other factors: Rarely, hypersensitivity, infection, biofilm, or granulomatous reaction.
Nodules are categorized in the literature as inflammatory vs. non-inflammatory, or early vs. delayed onset, which aids differential diagnosis and guides treatment. Most cases, however, are mechanical in nature, making dispersion techniques the first-line approach.
The combined use of botulinum toxin may reduce the risk of nodule formation by limiting muscle contractions that contribute to microsphere clustering. Peak toxin effect occurs at four weeks and diminishes thereafter, possibly explaining why protection was weaker at the third injection in this case.
Research on hyaluronic acid fillers suggests botulinum toxin prolongs filler longevity by reducing muscle-driven degradation. For CaHA, reducing muscle activity likely helps prevent particle aggregation in high-motion areas, even though direct evidence is limited.
Proper injection depth is critical, particularly in the lower neck, where platysma lies superficially (0.75–3 mm below the skin). Factors such as age, BMI, and gender influence this anatomy. More superficial injections may reduce the risk of CaHA pooling within or beneath the platysma. Some experts recommend avoiding injection in the lower 20% of the neck (Table 1).
Table 1: Clinical considerations for calcium hydroxylapatite injections in the neck.
· Dilution: Higher dilution ratios (1:2 to 1:4, depending on skin thickness) are considered safer for the neck.
· Technique: Gradual treatment using one syringe per session, preferably via blunt cannula, lowers risk. Short linear threading with a sharp needle is an alternative but carries higher complication risk.
When nodules develop, a stepwise approach is advised:
· Observation: For minor, asymptomatic nodules.
· Early intervention: Saline injections with massage remain first-line therapy. Sharp needles offer limited improvement, while blunt cannulas allow both dispersion and mechanical disruption, providing superior outcomes.
· Second-line therapies: If resistant, intralesional steroids or 5-fluorouracil may be used. Other options include laser therapy or surgical excision (Table 2).
Table 2: Stepwise approaches for the management of calcium hydroxylapatite nodules, adapted from McCarthy et al.
Injectable fillers have long been used for facial enhancement, and while generally considered safe compared with surgical interventions, unexpected vascular embolism remains one of the most devastating calcium hydroxyapatite side effects.
A healthy 25-year-old woman presented to a medical spa for jawline contouring. According to medical records, 0.3 mL of calcium hydroxyapatite filler was injected with a sharp needle placed against the right mandibular angle at the bone surface. This was followed by 0.9 mL injected along the jawline with a blunt cannula. After cannula removal, three additional attempts were made with direct sharp needle injections to deliver the remaining 0.2 mL, but these attempts were unsuccessful due to difficulty contacting the bone. No aspiration prior to injection was documented.
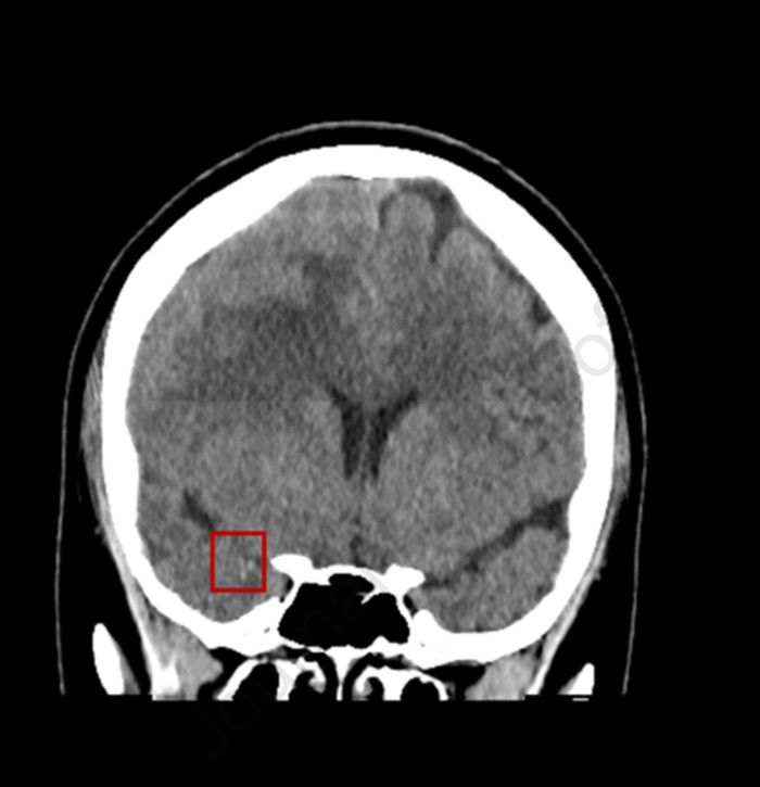
Shortly afterward, the patient developed expressive aphasia and left-sided weakness. Emergency imaging confirmed a right middle cerebral artery (MCA) infarction, with radiopaque material consistent with CaHA filler visible in the MCA (Figure 3). Given the proximity of the ICA to the intended injection site, the embolic event was attributed to inadvertent intravascular injection into the ICA. This case represents a severe form of calcium hydroxyapatite filler side effects, specifically a vascular complication.
Figure 3:Coronal reconstruction of a non-contrast head CT scan showing radiopaque calcium hydroxyapatite (CaHA) material within the middle cerebral artery (MCA, highlighted in red box), resulting in sequelae of acute infarction in the right cerebral hemisphere.
The patient received thrombolysis with tenecteplase (TNKase, Genentech, San Francisco, CA), a genetically engineered tissue plasminogen activator (tPA). Despite this, her clinical course was complicated by seizures and ventilator-associated pneumonia. She was left with residual mild left-sided hemiparesis.
The widespread adoption of dermal fillers has been accompanied by an increase in reported adverse events, including rare but serious calcium hydroxyapatite side effects involving vascular occlusion. Between 2000 and 2020, the incidence of filler-induced blindness or stroke tripled. The lips and perioral region account for the majority of vascular embolism cases (38%), whereas jawline injections represent only 1%. Cerebral embolism most frequently follows glabellar injections, with temporal, frontal, and nasal areas also implicated.
Once vascular embolism occurs, immediate intervention is critical to minimize permanent damage. For hyaluronic acid (HA) fillers, intra-arterial hyaluronidase administration can dissolve emboli and restore perfusion. In contrast, CaHA has no enzymatic antidote. Agents such as sodium thiosulfate and saline have been used to disperse CaHA in soft tissue, but they cannot degrade the filler and are therefore ineffective for intravascular embolism.
According to a recent expert consensus on managing CaHA-related intravascular events:
Retinal ischemia should prompt urgent ophthalmology referral, ocular massage, aspirin administration, beta-adrenergic blocker eye drops, rebreathing into a paper bag to increase CO₂ levels, and potentially inpatient intravenous therapy.
Peripheral ischemia with tissue necrosis may be treated with hyaluronidase (if HA was co-injected), warm compresses, aspirin, oral corticosteroids, tadalafil, and hyperbaric oxygen therapy.
Although there are no specific guidelines for ICA embolism caused by CaHA, ischemic stroke in this setting is generally managed with intra-arterial thrombolysis followed by endovascular thrombectomy.
CaHA is favored for jawline augmentation due to its high G′ value (a measure of stiffness and lifting capacity), providing durable contour definition. However, this very indication brings the risk of proximity to major vessels. In the reported case, inadvertent ICA injection occurred near the mandibular angle—a region traditionally considered “low-risk.” This highlights the need to reevaluate risk profiles in lower-face filler treatments.
For safer practice, experts recommend the following techniques:
Use a 25G or larger blunt cannula when treating the jawline.
Ensure direct placement against bone, verified through palpation.
Always aspirate before injection, even when using a cannula.
Previous reports of vascular occlusion during jawline augmentation have most often involved the facial artery (located \~3 cm anterior to the mandibular angle) or other branches of the external carotid artery (ECA). The ICA usually runs deeper, making embolization from filler injections rare. However, in this case, imaging ruled out retrograde flow from ECA branches, suggesting direct ICA injection or less likely, an undetected anomalous vessel pathway.
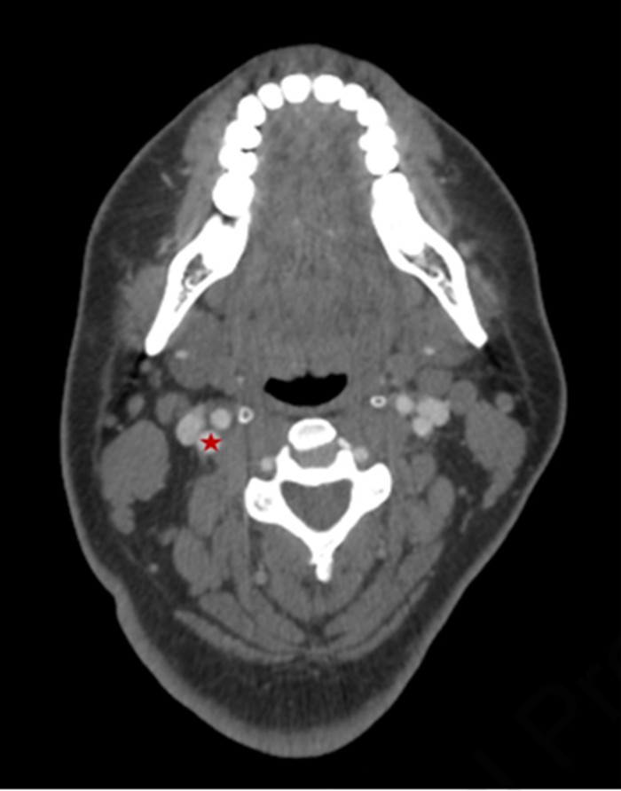
In the supine position, with skin laxity and tissue displacement, the ICA may lie as close as 4 cm beneath the skin surface over the mandibular angle (Figure 4). Deep injections, combined with external pressure on the skin, may inadvertently allow a needle to reach the ICA.
Figure 4: Axial contrast-enhanced CT of the neck demonstrating the internal carotid artery (ICA, marked with a red star) located approximately 4 cm beneath the skin surface at the deep aspect of the right mandibular angle.
Although blunt cannulas reduce the likelihood of vascular penetration sixfold compared to sharp needles, the risk is not eliminated. Even with cannulas, intravascular entry has been documented. Therefore, aspiration before injection should remain mandatory, and practitioners must be prepared to manage vascular calcium hydroxyapatite side effects.
This case underscores the catastrophic potential of calcium hydroxyapatite filler side effects when vascular anatomy is not fully respected. The mandibular angle should no longer be considered a uniformly “low-risk” area for filler injection. A detailed understanding of vascular pathways, careful technique, appropriate instrument choice, and readiness to act in the event of an embolic event are essential for patient safety.
Beyond nodules and vascular complications, several other calcium hydroxyapatite side effects have also been reported, though they remain relatively uncommon. These reactions are typically less severe but still require appropriate recognition and management to ensure patient safety:
· Swelling and Bruising: Mild edema and ecchymosis are the most typical immediate reactions, usually resolving within a few days. Management includes cold compresses immediately after treatment, gentle massage if appropriate, and monitoring until the swelling subsides.
· Pain or Tenderness: Some patients experience localized discomfort at the injection site. This is generally temporary and manageable with over-the-counter analgesics, cold compresses, and gentle massage.
· Skin Discoloration: Rare cases of hyperpigmentation or erythema can occur, particularly with superficial injections. Topical anti-inflammatory agents, sun protection, and, if necessary, dermatologic interventions (e.g., laser therapy) may be used to address persistent discoloration.
· Infection: Though infrequent, improper aseptic technique or contamination can lead to bacterial infection or biofilm formation. Management involves prompt recognition, appropriate oral or intralesional antibiotics, and in some cases, drainage of localized collections.
· Granulomatous Reactions: A delayed immune-mediated response can result in firm nodules or induration. Treatment may include intralesional corticosteroids, hyaluronidase (if HA co-administered), or, in resistant cases, surgical excision.
Understanding the full spectrum of potential calcium hydroxylapatite filler side effects reinforces the importance of correct patient selection, precise injection technique, and early intervention to ensure safe and effective outcomes.
Calcium hydroxyapatite remains an effective and reliable option for skin rejuvenation and structural enhancement. While nodules are the most frequently reported side effect, severe vascular complications—such as inadvertent intra-arterial injection leading to ischemic events—highlight that no facial area is entirely risk-free. Other less common reactions, including swelling, bruising, tenderness, skin discoloration, infection, and granulomatous responses, may also occur.
Preventive strategies are essential to minimize calcium hydroxyapatite filler side effects. These include appropriate dilution, careful injection technique, thorough understanding of facial anatomy, use of blunt cannulas where indicated, aspiration before injection, and adjunctive measures such as botulinum toxin to limit muscle-driven filler aggregation. Early recognition and prompt management of complications—ranging from conservative measures for minor reactions to saline or mechanical dispersion for nodules, and emergency vascular protocols for intravascular events—ensure patient safety and optimize clinical outcomes.
Ongoing refinement of techniques and continued vigilance regarding all potential side effects will further enhance the safety, efficacy, and predictability of CaHA aesthetic treatments.
Disclaimer
Important Notice: The viewpoints presented in this article are compiled and summarized based on published literature and research to date. They do not represent the views or positions of this platform and should not be considered as guidance for individual product selection.
The article title and certain terminology used within are intended purely for academic discussion and technical exchange, and are not to be interpreted as claims of product efficacy. The actual effects and usage instructions of any product mentioned should be referenced according to the product’s official instructions and the manufacturer’s guidance.
We reiterate that this article is solely for academic purposes, intended for reading by medical professionals, and is not for any commercial use.
content is empty!
